Smith Pulmonary and Biomechanics Laboratory
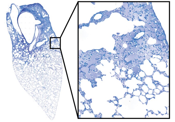
The Smith Pulmonary and Biomechanics Laboratory published eleven papers in the past fiscal year (1,2,3,4,5,6,7,8,9,10,11). These studies of acute respiratory distress syndrome and ventilator-induced lung injury formed the basis for a $2,812,986 NIH R01 award to develop and test algorithms that compute subject-specific lung protective mechanical ventilation patterns that protect patients from ventilator-induced lung injury. PhD student Alison Wallbank was awarded a $42,560 NIH TL1 award to study the effects of a novel nanoparticle-based treatment for acute lung injury (1). PhD Student Courtney Mattson has continued her studies of the spatiotemporal heterogeneity of lung injury under the support of an NIH F31 and Dr. Smith was awarded a patent ‘Variable ventilation as a diagnostic tool for assessing lung mechanical function‘.
Discover more from College of Engineering, Design and Computing News
Subscribe to get the latest posts sent to your email.
CU Denver Engineering, Design and Computing View All
At the CU Denver College of Engineering, Design and Computing, we focus on providing our students with a comprehensive engineering education at the undergraduate, graduate and professional level. Faculty conduct research that spans our five disciplines of civil, electrical and mechanical engineering, bioengineering, and computer science and engineering. The college collaborates with industry from around the state; our laboratories and research opportunities give students the hands-on experience they need to excel in the professional world.
